ConCertTM Examination Prep by D Collman MD

Test Item 2/multiole questions:  What is the diagnosis?  Describe all of the findings.  Is this a pathognomonic study?  What is all the indicated management? 

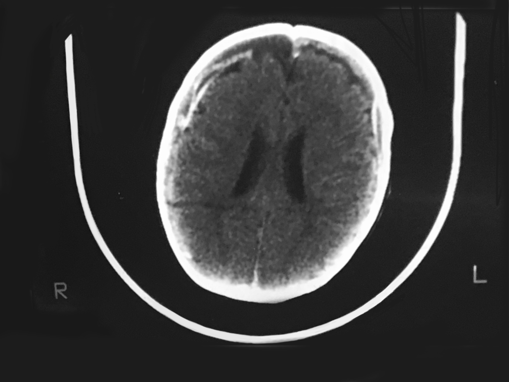
CT findings:  Bilateral frontal old SDHs seen as loss of bifrontal cortical gray matter with bifrontal hygromas; acute Rt frontal SDH [white crescent on right], brain laceration on right deep within the substance of the brain [dark horizontal line rt posterior]; dilated ventricles = increased intracranial pressure.

Test Item 2 Answers:  Dx:  This CT [-} study is pathognomonic for shaken baby syndrome!!

Management:  Early Intubation and head elevation with cervical spine protection.  Baseline ABG and mild hyperventilation.  Frequent vital signs.  cardiac/pulse ox monitoring.  Possible need for loop diuretic.  Establish an IV; maintenance fluid.  Establish NG and foley catheters. Admission labs comprehensive T/S; U/A; coagulation profile; toxicology screening. Lateral spine film or CT neck.  Chest xray.  Other studies may be indicated.  Call for Peds and Neurology/Neurosurgery admission.  Full physical examination looking for associated injuries with attention to full neurologic examination.  The patient must be fully undressed with diaper removed for the physical examination.

Bilateral retinal hemorrhages: will need a dilated ophthalmologic exam performed by an ophthalmologist (see image below).

Skeletal survey looking for multiple fractures in various stages of injury, i.e., chronic and or acute injuries of various ages.  Metaphyseal corner fractures of any long bone [e.g., knee or ankle are also pathognomonic for child abuse]

Other signs of abuse: cigarette burns, grip marks or grip bruises, e.g., on upper extremities. 

Call child protective services.  Protect the patient from any further harm including removal from hospital. 

SBS Findings on retinal examination. From my new eText, “The Complete Emergency Medicine Board Prep!” 1192 page’s, fully illustrated, and available now for purchase on my homepage. Substantial discount for physicians-in-training and medical students.

Published by DrC

Clinical Emergency Physician Prior Faculty for Midwestern University EM Author/Educator/Medical Ilustrator Expertise: EM Pathophysiology and physiology [both pediatric/adult] Designer of a silicone membrane ECMO [extracorporeal membrane oxygenator] By 2005 trained ⅓ of the world’s EPs for EM board certification Trained Oral Examiners for a decade: the Board of Certification in Emergency Medicine [5000 original members...now the second largest EM group in the United States]; he was a compensated consultant for that and numerous other emergency medicine organizations. All of Dr Collman’s presentations have been Co-sponsored AMA/ACEP category 1 CME ACCME accreditation through the AAPS, National and The Fl Chapter of ACEP and The Fl Medical Association since 1989. Publisher of numerous EM manuals, and educational materials [all items were have copyrighted notices and have been sold by the ACEP Bookstore]; all authored by Dr Collman: 2 Vol program syllabus of thousands of Q/As and pathophysiology discussions of all chapters from eds 3-8 of “The Study Guide” [All chapters of the core content knowledge for completion of an emergency medicine residency]; teachs Resususcitation, CV Emergencies, Pulmonary Emergencies, The EKG lab [the 60 most important EKGs/management; Truama Emergencies, Pain Mgmt, Orthopedic Emergencies, Toxicology [Toxins and Antidotes, HEENT Emergies, Environmental Emergencies, Pediatric Emergencies [500 Q/As], HIV/AIDs-Infectious Diseases, Emergencies, Rhematologic Emergencies, Neurologic Emergencies, Acid-Base/ABG Presentation, Dermatological Emergencies, CT/POCUS [point of care ultrasound], Bariatric Emergencies, Endocrine Emergencies. Dr Collman is endorsed by his programs participants [12,000+] Examples: Dr James SULLIVAN MD DABEM; and others program participants described Dr Collman as a “National Treasure” Dr Collman grandfathered into EM after completing a rotating Gen Surg Internship at UCLA School of Medicine [June 1981]. He accepted a directorship position at age 25, the contract to Illustrate “Emergency Management of Pediatric Trauma” [author:Thom Mayor MD FACEP] published by WB Saunders Dr Collman provides strong intellectual support to his program attendees...many chose him to be their permanent career mentor and return annually to his live interactive conferences. Dr Collman has designed computer-based programming to numerous organizations in ACLS algorithms [Univ of Pisstburgh] He provides Interactive grand rounds as Case Simulations by invitation: He designed an 8-h Visual Stimuli Presentation for Johns Hopkins Dept of EM [their board prep program;a second 8 hr presentation “The Genitourinary System-a Comprehensive 8-hour Review”; he teaches each program Johns Hopkins University. He trained Examiners for the BCEM [AAPS] Atlanta GA: presented a combined certification review [both certification part I/orals] numerous time in Atlanta, Hawaii, Lake Tahoe, and Orlando, Fl 1991-1996. He created their entire bard exam [part I and Oral Examination and a computer-operated Visual Examination [2 Versions] in 1996. This included 700 certification test items and 25 Oral Examination Live Test Simulations as well as trained their AAPS [BCEM Examiners twice a year for 10 years [throughout the 1990s] Texts Authored Editor in Chief 4th-7th Ed of: “Pearls of Wisdom in Emergency Medicine [7 eds] and 35 Cds [33 are critical analysis of the 52 OBT Live CD set: audio recording made Live at Conference [cost $1515.00 (Oral Board Case studies)+ ASA/APAP toxicology CDs [each is 1 hour w/manual purchase price $65.00 for each + “CT Video: CT for the Emergency Physician”. Videotaped Live in Boca Raton, FL by Pear Productions Publication Study Quote: “Dwight Collman MD DABEM DABFM Provides the most rigorous CME Education”...documented by EM News and EMRA [in 2002 ranked Dr Collman’s EM 8-Day Interactive Review! with the top 8 University or top ACEP chapter programs [an independent study they published for all of America’s Emergency Medicine Residents preparing for their board certification examinations. 2009 Jan Issue EM News Editor-in-chief ranked Dr Collman as the “premier educator for board preparation in the US” Core Competencies: Bedside Clinical Instructor all EM Medicine Clinical assessment/training EPs in all EM Procedures [over 90 procedures] Core competency: illustrates human Anatomy as it pertains to EM/EM procedures [he does this Live and his clients request to keep his illustrations] Dr Collman edited Emergency Management of Pediatric Trauma [while he illustrated this First-Ever Text devoted to Pediatric Trauma; he spent 2 years creating the illustrations for this text 1983-1985 and they were reproduced and resold by the publisher and appear in the Pediatric Trauma Capter of The Text: The Clinical Practice of Emergency Medicine” Ed 1., author Ann Lattimer-Harwood-Nuss [now Professor Emeritus, retired]. Completed a Fellowship in Gen Anesthesia: University of Utah School of Medicine Awarded 5 specialty rotations [mentorship programs in medical school:ICU President: Collman Institute Inc [a Fl S-Corp] 1994-2007 . Clinical practice x ~40 Yrs ABEM certification Life Fellow Am Board of Forensic Examiners Trains EPs in triage/emergency Pt care/documentation to mitigate litigation risk Has been awarded teaching contracts from over 400 US Hospitals Trains EPs from every branch of the US Military since 1989 -first group included the CO of the Portsmouth, Va Naval residency [Michael Gonzalez MD FACEP who officially made the Oral Board Tutorial! As mandatory education to graduate his residency program in 1989. I am a “trainer-educator, author, medical Illustrator”. I have treated college students at no cost since the 1990s Additional skills/competencies: Documentation [chart review consultatnt], Test item Writer [wrote the entire certification partI/part II examinations in 1996 Teach/train using interactivity/I teach the statistical/mathematical precognitive approach to physicians for pediatric IV fluid protocols for resuscitation, 3 forms of dehydration, burn fluid calculations + formula for airway [pulmonary burns] 52 simulations in 5 days; the role of the CANs/EXRs; I have a program syllabus for both of my CME programs Program author/presenter: “The Clinical Documentation Of the Emergency Medicine Hospital Chart”, a 2-Day program conducted in Park City, Utah [1992] As a Forensic Examiner he has reviewed and consulted emergency Physician defendants [approx 30 cases over 25 years]

Leave a comment

This site uses Akismet to reduce spam. Learn how your comment data is processed.